PATIENT RESULTS
At ScarboroSmiles, we are proud to give patients professional results that make them smile.
Patient had old bonding on her laterals that was starting to discolour and she didn’t like how much smaller they looked compared to her centrals. We placed two E-Max veneers on the laterals to change their shape, size and colour to create a more harmonious smile. Such a natural result that fits the patient’s smile seamlessly.


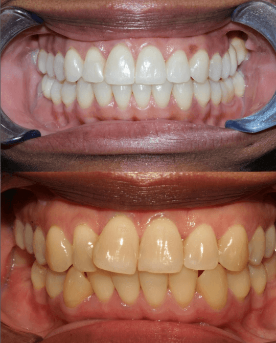
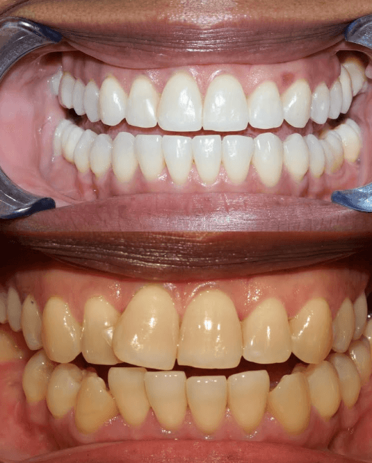
Patient came in with his old bridge completely fractured off due to the supporting teeth weakening over time. Decided to extend further back and include more teeth for added strength and to make his smile better than ever. Zirconia used for strength and cosmetics by Dr. Isabel Cumandra.
Our patient initially presented with an asymmetrical front teeth shape due to several factors. One tooth was congenitally missing (never formed), one was still a baby tooth that never fell out, and one was what we call a “peg lateral,” or a very narrow tooth. The first phase of treatment involved Invisalign to reposition the teeth into their ideal locations for optimal form and function.
The second phase of treatment was bonding to reshape the misshapen teeth and create a more harmonious smile. Bonding was chosen in this case because the patient wanted a noninvasive approach that preserved her natural tooth structure.


Our Smile Gallery
Over the 40+ years of our dental clinic, we have been able to transform many patients' teeth into proud smiles.
Schedule Your Appointment
Schedule your visit today for personalized dental care in a comfortable environment. Your journey to a brighter, healthier smile begins here.
Hours of Operation
Monday
08:00am - 08:30pm
Tuesday
08:00am - 09:00pm
Wednesday
08:00am - 08:00pm
Thursday
08:00am - 09:00pm
Friday
08:00am - 02:00pm
Saturday
09:00am - 03:00pm
Sunday
Closed










